Dr. Alfonso Ley Rojo
Cirugía y Traumatología Infantil
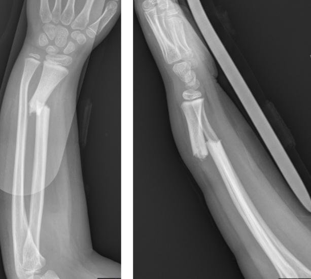
Fractura de radio y cúbito en niño, el tratamiento correcto !!
¿Tu hijo ha sufrido una fractura de radio y/o cúbito.
Quieres saber si es grave o no y como se debe solucionar??
Displasia del desarrollo de la cadera en niños pequeños
¿Sabías que este pequeño arnés puede cambiar por completo el futuro de una cadera en desarrollo?
La displasia de cadera es un desarrollo incompleto de la articulación que puede corregirse si se trata a tiempo.
¡Hola, mundo!
Te damos la bienvenida a WordPress. Esta es tu primera entrada. Edítala o bórrala, ¡luego empieza a escribir!



